At Rueb Stoller Daniel, we are committed to fighting for the rights of those who have been harmed by negligence and unsafe products. With extensive experience in mass tort cases, we focus on providing personalized legal support for clients who need it most. Our dedicated team works tirelessly to ensure that every case is handled with the attention and expertise it deserves. If you’ve been affected by a dangerous product or medical issue, we’re here to help you seek justice and the compensation you deserve.
Depo-Provera, a widely used birth control shot, offers effective pregnancy prevention, but recent studies have raised concerns about its potential link to an increased risk of developing meningiomas, a type of brain tumor. While Depo-Provera is generally considered safe for many, understanding the possible risks associated with its long-term use is crucial for women who rely on it for contraception.
In this blog, we will explore the potential link between Depo-Provera and meningiomas, the symptoms to be aware of, risk factors, and treatment options, as well as the importance of working with an experienced mass tort attorney at Rueb Stoller Daniel if you believe you have been affected by this serious health risk.
Understanding Depo-Provera
Depo-Provera, a popular form of birth control, is an injection that can prevent pregnancy. It’s important to understand how it works and its potential risks, including the connection to increased risk of brain tumors.
What is Depo-Provera?
Depo-Provera, also known as Depot Medroxyprogesterone Acetate, is an injectable form of birth control. It is given every three months to prevent pregnancy. The injection contains synthetic progesterone, which stops ovulation and thickens cervical mucus to prevent sperm from reaching an egg.
How Depo-Provera Works
The injection works by affecting the menstrual cycle, preventing the release of an egg from the ovaries. It also thins the uterine lining, making it less likely to support a fertilized egg. This highly effective form of contraception is widely used but has some potential risks.
Common Side Effects
Some common side effects of Depo-Provera include weight gain, changes in menstrual cycle, and mood swings. These effects are generally temporary, but some users experience more significant health concerns, including potential risks to brain and spinal cord tissue.
Potential Health Risks
Recent studies have raised concerns about the link between Depo-Provera and the increased risk of developing benign meningiomas, a type of brain tumor. Though rare, some women who have used Depo-Provera for extended periods have been found to have higher rates of developing these tumors, particularly atypical or anaplastic meningiomas.
Other Forms of Birth Control
Compared to other forms of hormonal birth control, such as birth control pills or IUDs, Depo-Provera carries unique risks. The long-term use of Depo-Provera, especially in certain individuals, may increase the likelihood of developing tumors in the brain or spinal cord. It’s essential for patients to discuss all options with their healthcare team.
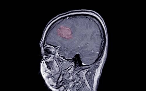
What Are Meningiomas?
Meningiomas are tumors that develop in the meninges, the layers of tissue covering the brain and spinal cord. These tumors can vary in size and severity, with some growing slowly and others presenting serious risks.
Types of Meningiomas
Meningiomas are classified into three main grades, which help determine their severity:
- Grade I (Benign): These are the most common and least aggressive type of meningiomas. They grow slowly and are usually treatable through surgery or radiation.
- Grade II (Atypical): These tumors are less common and grow faster. They may be more challenging to treat and have a higher risk of recurrence.
- Grade III (Anaplastic): These are malignant tumors that grow rapidly and can spread to other parts of the brain or body. They require aggressive treatment.
Tumor Location
Meningiomas can form in various parts of the brain and spinal cord, with common locations being the skull base, near the brain, and spinal cord. Tumors in these areas can cause different symptoms depending on their location and size, such as headaches, vision problems, or seizures.
Symptoms of Meningiomas
The symptoms of meningiomas vary based on the tumor’s size, location, and grade. Common symptoms include persistent headaches, vision changes, seizures, and neurological deficits. If left untreated, some meningiomas can grow large enough to compress nearby brain tissue or organs, causing life-threatening complications.
Risk Factors for Meningiomas
Certain risk factors, such as long-term use of hormonal birth control methods like Depo-Provera, have been linked to an increased risk of developing meningiomas. Other factors that may contribute to the development of these tumors include genetic conditions, age, and exposure to radiation.
Diagnosis and Treatment
Meningiomas are typically diagnosed using imaging techniques such as MRI or CT scans. Treatment options depend on the tumor’s size, location, and grade. Surgery, radiation therapy, and in some cases, chemotherapy, are common treatment approaches. The prognosis is often favorable for benign meningiomas, but more aggressive treatment may be necessary for higher-grade tumors.
The Link Between Depo-Provera and Meningioma
Recent studies have raised concerns about the possible connection between Depo-Provera and an increased risk of developing meningiomas, a type of brain tumor. Understanding this relationship is crucial for individuals using Depo-Provera as a form of birth control.
Research Findings on Depo-Provera and Meningiomas
Studies have suggested that long-term use of Depo-Provera may be linked to a higher risk of developing meningiomas. Research indicates that Depot Medroxyprogesterone Acetate, the active ingredient in Depo-Provera, can influence hormonal changes that may lead to tumor growth in brain and spinal cord tissue. While more research is needed, these findings have sparked concerns among healthcare professionals.
Hormonal Impact on Tumor Growth
Depo-Provera works by altering hormone levels, primarily progesterone, to prevent pregnancy. This hormonal change may affect brain tissue, potentially encouraging the growth of tumors like meningiomas. Some studies indicate that prolonged exposure to synthetic progesterone in Depo-Provera may trigger abnormal cell growth, leading to the development of benign meningiomas or, in rarer cases, more aggressive tumor forms like anaplastic meningiomas.
Increased Risk in Certain Populations
Certain populations may face a higher risk of developing meningiomas from Depo-Provera. Research suggests that ethnic groups, especially women with a family history of brain tumors or other risk factors, may be more susceptible. Additionally, women who have used Depo-Provera for several years may be at an increased risk compared to those who use other forms of birth control.
Symptoms of Meningiomas Linked to Depo-Provera
The symptoms of meningiomas linked to Depo-Provera use may be similar to those of other brain tumors, such as headaches, vision problems, and seizures. Regular monitoring by a healthcare team is important for women using Depo-Provera, especially if they experience neurological symptoms. Early detection of meningiomas can lead to better treatment outcomes.
Addressing the Risks with Healthcare Providers
It is important for individuals using Depo-Provera to discuss their health risks with their healthcare providers. Women should inform their doctors if they experience any unusual symptoms or have concerns about the potential link between Depo-Provera and brain tumors. Healthcare professionals can help assess individual risks and suggest alternative forms of birth control if necessary.
Risk Factors and Potential Complications
Certain factors can increase the likelihood of developing meningiomas, especially for those using Depo-Provera as a method of birth control. Identifying these risk factors is crucial for reducing the potential for complications.
Hormonal Influence of Depo-Provera
Depo-Provera works by altering hormone levels, particularly progesterone. This hormonal change can affect brain tissue, potentially contributing to the growth of tumors like meningiomas. Prolonged use of Depot Medroxyprogesterone Acetate may increase the risk, especially for those using the injection for several years.
Pre-existing Health Conditions
Individuals with pre-existing health conditions such as liver disease or heart disease may be at a higher risk of developing complications from Depo-Provera. These conditions can affect how the body metabolizes hormones, potentially increasing the risk of developing tumors or other health issues related to hormonal changes.
Genetic Factors and Family History
A family history of meningiomas or other types of brain tumors may increase the risk of developing a tumor from using Depo-Provera. Certain genetic conditions, such as neurofibromatosis, are also linked to a higher risk of meningiomas. Patients with a genetic predisposition to tumors should discuss their options with a healthcare provider before using hormonal birth control.
Long-Term Use of Depo-Provera
The longer an individual uses Depo-Provera, the higher the risk of developing meningiomas. Studies suggest that women who use the birth control shot for extended periods may face a higher likelihood of developing benign or malignant brain tumors. Regular check-ups and monitoring are important for long-term users.
Ethnic Groups and Risk Disparities
Certain ethnic groups may have a higher predisposition to developing meningiomas from Depo-Provera. Research indicates that the risks of brain tumors may vary based on genetic and environmental factors, highlighting the need for individualized care and attention. Healthcare providers should be aware of these disparities when advising patients on birth control options.
Complications from Tumor Growth
If left untreated, meningiomas can grow large enough to affect brain tissue, leading to serious complications. Symptoms like headaches, seizures, and neurological deficits can worsen as the tumor grows. In rare cases, tumors may become malignant and spread, requiring aggressive treatments such as surgery or radiation. Regular monitoring and early intervention are critical to managing complications.
Contact an Experienced Mass Tort Attorney at Rueb Stoller Daniel Today!
If you or a loved one has been affected by the potential risks of Depo-Provera and developed a meningioma, it’s essential to understand your legal options and take action. The connection between long-term use of this birth control shot and increased risk of brain tumors is a serious concern that deserves attention. Our team at Rueb Stoller Daniel is experienced in handling mass tort cases and is dedicated to helping you navigate the legal process.
Contact us at 1-866-CALL-RSD for a free case consultation today!








